Kreuzbandriss
Ein Kreuzbandriss entsteht häufig durch plötzliche Drehbewegungen oder Sportunfälle. Eine gezielte Behandlung stellt Stabilität und Funktion des Knies wieder her.
Anatomie
Was ist das vordere Kreuzband?
Im „Inneren“ des Kniegelenks befindet sich das vordere Kreuzband (VKB).
Es entspringt an der hinteren Innenseite der äußeren Oberschenkelrolle. Von dort verläuft es schräg durch das Kniegelenk nach vorne und setzt am zentralen vorderen Unterschenkelplateau an.

Die Funktion des vorderen Kreuzbandes
Das vordere Kreuzband verhindert eine Verschiebung (Translation) des Unterschenkels gegenüber dem Oberschenkel nach vorne. Des Weiteren verhindert es durch seinen schrägen Verlauf eine Drehbewegung (Rotation) des Unterschenkels gegenüber dem Oberschenkel.
Das vordere Kreuzband ist nur sehr schlecht durchblutet und weist aus diesem Grund nur eine sehr geringe eigene Heilungspotenz auf.
Aus anatomischer Sicht besteht das vordere Kreuzband aus zwei Bündeln: einem vorderen (anteromedialen) und einem hinteren (posterolateralen). Während das vordere Bündel hauptsächlich die Translation verhindert, kontrolliert das hintere Bündel die Rotation.
Krankheitsbild
Was ist ein Kreuzbandriss?
Typischerweise kommt es bei Sportverletzungen ohne Gegnerkontakt zu einem Riss des vorderen Kreuzbandes (Bild 2), einer sogenannten vorderen Kreuzbandruptur.
Diese Ruptur kann teilweise oder komplett vorliegen.

Gerade bei Kindern und Jugendlichen kommt es häufig zu knöchernen Ausrissen des vorderen Kreuzbandes. Sportler und Frauen sind in der Bevölkerung am häufigsten betroffen.
Begleitverletzungen eines vorderen Kreuzbandrisses
Sehr oft ist eine vordere Kreuzbandruptur mit Begleitverletzungen am Meniskus und/oder Knorpel assoziiert.
Entschließt man sich zu einer Operation zum Ersatz oder zur Naht des vorderen Kreuzbandes, können diese Begleitverletzungen in der Regel im gleichen Eingriff ebenfalls behandelt werden.
Oft ist es so, dass die Begleitverletzung an sich bereits sehr gravierend ist (z. B. eine Meniskuskorbhenkelläsion) und eine Operationsindikation darstellt. In diesen Fällen muss mit dem Patienten besprochen werden, ob sowohl das vordere Kreuzband als auch die Begleitverletzung in einem Eingriff behandelt werden sollen. Aus medizinischer Sicht ist dies grundsätzlich empfehlenswert, muss jedoch individuell mit jedem Patienten besprochen werden.
Kreuzbandriss: Auslöser
- Harter seitlicher Aufprall eines Gegners beim Fußball gegen das Kniegelenk
- Überstreckung des Kniegelenks
- Plötzliches Abbremsen aus vollem Lauf
- Plötzlicher Richtungswechsel aus vollem Lauf
- Landung nach Sprung oder Drehung
Kreuzbandriss: Symptome
- Schwellung
- Blutiger Gelenkerguss
- Instabilitätsgefühl
- Heftiger Schmerz im Inneren des Knies
- Deutlich hörbares Knallen durch das reißende Kreuzband
- Knie lässt sich nicht mehr ganz strecken
Kreuzbandriss: Prävention
- Beinachsentraining: Bewegung und Sprünge auf weichen Untergründen (Matten)
- Koordinationstraining: Sprungübungen
- Propriozeption: Balance Board
Symptome
Was ist ein Kreuzbandriss?
Typischerweise kommt es bei Sportverletzungen ohne Gegnerkontakt zu einem Riss des vorderen Kreuzbandes (Bild 2), einer sogenannten vorderen Kreuzbandruptur.
Diese Ruptur kann teilweise oder komplett vorliegen. Gerade bei Kindern und Jugendlichen kommt es häufig zu knöchernen Ausrissen des vorderen Kreuzbandes. Sportler und Frauen sind in der Bevölkerung am häufigsten betroffen.
Begleitverletzungen eines vorderen Kreuzbandrisses
Sehr oft ist eine vordere Kreuzbandruptur mit Begleitverletzungen am Meniskus und/oder Knorpel assoziiert.
Entschließt man sich zu einer Operation zum Ersatz oder zur Naht des vorderen Kreuzbandes, können diese Begleitverletzungen in der Regel im gleichen Eingriff ebenfalls behandelt werden.
Oft ist es so, dass die Begleitverletzung an sich bereits sehr gravierend ist (z. B. eine Meniskuskorbhenkelläsion) und eine Operationsindikation darstellt. In diesen Fällen muss mit dem Patienten besprochen werden, ob sowohl das vordere Kreuzband als auch die Begleitverletzung in einem Eingriff behandelt werden sollen. Aus medizinischer Sicht ist dies grundsätzlich empfehlenswert, muss jedoch individuell mit jedem Patienten besprochen werden.
Fakten zum vorderen Kreuzband
- Rückkehrquote zum gleichen Sport mit Operation: 65 %
- Anteil der Begleitverletzungen: bis zu 50 %
- Gefahr der Arthroseentwicklung: bis zu 50 %
- Rückkehrquote zum gleichen Sport ohne Operation: 17 %
- Gefährlichste Sportart: Fußball
- Dauer bis zur Rückkehr in volle sportliche Aktivität: 9 Monate
- Frauen erleiden einen Kreuzbandriss 4- bis 8-fach häufiger
Diagnostik
Wie untersucht man einen vorderen Kreuzbandriss?
Zur Diagnostik einer vorderen Kreuzbandruptur gehört primär die Erhebung der Anamnese (Krankengeschichte).
- Liegt eine ältere oder eine frische Kreuzbandruptur vor?
- War ein Unfall oder ein anderes Geschehen ursächlich?
- Wie alt ist der Patient und welchen sportlichen Anspruch hat der Patient?
- Wurde das betroffene Kniegelenk schon einmal operiert?
Hiernach folgt die körperliche Untersuchung des betroffenen Kniegelenks immer im Vergleich zum anderen gesunden Kniegelenk.
Bei klarem Verdacht auf eine Ruptur des vorderen Kreuzbandes sollte eine MRT-Untersuchung (Magnetresonanztomographie) des betroffenen Kniegelenks erfolgen.

Durch diese Bildgebung kann nicht nur das Kreuzband, sondern auch alle anderen Strukturen des Kniegelenks wie Meniskus, Knorpel und Knochen beurteilt werden. In vielen Fällen kann mittlerweile auf eine konventionelle Röntgendiagnostik verzichtet werden.
Kreuzbandriss: Sofortmaßnahmen
- Knie ruhigstellen, eventuell mit Bandage oder Orthese
- Sportliche Aktivität und Wettkampf sofort beenden
- Entlastung des Knies mit Unterarmgehstützen
- Schmerzen und Schwellung können mit Nichtsteroidalen Antirheumatika (NSAR) behandelt werden
- Bei Schwellung das Knie hochlagern
- Kühlung mit Eis
Kreuzbandriss: Wann konservativ therapieren?
- Das Aktivitätsniveau des Patienten ist niedrig, Risikosportarten werden nicht ausgeübt
- Keine oder nur geringe Begleitverletzungen im Knie
- Bei Teilruptur müssen mindestens 75 % des Kreuzbandes noch intakt sein, um eine Spontanheilung zu unterstützen
- Bei knöchernem Ausriss darf dieser nicht verschoben sein und sollte noch an der Ausrissstelle anhaften
Kreuzbandriss Operation: Pro & Kontra
Pro
- Volle Stabilität
- Rückkehr zum sportlichen Niveau
- Vermeidung einer Arthrose
Contra
- Operationsrisiken
- Kein zwingender Anspruch auf maximale Kniestabilität
- Fortgeschrittenes Lebensalter
Therapie
Welche Möglichkeiten der Behandlung gibt es bei einem vorderen Kreuzbandriss?
Die Entscheidung der fortführenden Therapie orientiert sich am Patienten, der Verletzung beziehungsweise einer Kombination daraus. Grundsätzlich bestehen zwei Therapieoptionen: konservativ (keine Operation) oder operativ (Operation).
Schwerwiegende Begleitverletzungen unterstreichen eine Operationsindikation. Nahtfähige vordere Kreuzbandrupturen müssen bei entsprechender Indikationsstellung zeitnah, in der Regel innerhalb von zwei Wochen, operiert werden.

Die verschiedenen Patiententypen
Die isolierte akute oder chronische Verletzung des vorderen Kreuzbandes stellt keine dringende Operationsindikation dar. Es bleibt ausreichend Zeit, gemeinsam mit dem Patienten das weitere Vorgehen festzulegen.

Eine hilfreiche Entscheidungshilfe ist die Dreiteilung in sogenannte Coper, Adapter und Non-Coper.

Volle sportliche Aktivität bei konservativer Behandlung (Coper)
Coper sind Patienten, die auch ohne vorderes Kreuzband ohne Instabilitätsepisoden in ihre volle sportliche Aktivität zurückkehren können.
Diese Gruppe weist jedoch ein deutlich erhöhtes Risiko für sekundäre Begleitverletzungen sowie für die Entwicklung einer Arthrose auf.
Angepasste sportliche Aktivität bei konservativer Behandlung (Adapter)
Adapter passen ihre Aktivität so an, dass keine Instabilitätsepisoden entstehen.
Bezüglich Begleitverletzungen und insbesondere der Arthroseentwicklung besteht ein vergleichbares Risiko wie bei den Copern.
Sowohl Coper als auch Adapter können primär konservativ behandelt werden.
Operation empfohlen (Non-Coper)
Non-Coper verspüren eine relevante Instabilität und können nicht zum gewünschten Sportniveau zurückkehren. Diesen Patienten wird eine Operation empfohlen.
Die Kreuzbandnaht
Bestimmte Rissformen des vorderen Kreuzbandes können heutzutage mit modernen Nahttechnik-Systemen versorgt werden.
Dabei wird der abgerissene Kreuzbandstumpf mithilfe von Fäden gefasst und wieder an die anatomische Ursprungsstelle am Oberschenkelknochen gezogen und dort fixiert.
Ein Spannfaden verbindet zudem Oberschenkel und Unterschenkel im Sinne einer korrekten Einstellung dieser beiden Gelenkpartner zueinander, sodass das gerissene Kreuzband in richtiger Stellung ausheilen kann.
Dieser Spannfaden ist im Unterschenkel mit einer Sprungfeder verbunden, welche die Bewegungen eines normalen Kreuzbandes nachahmen kann.

Der Vorteil der Kreuzbandnaht besteht darin, dass kein Sehnenmaterial verwendet werden muss und das eigene Kreuzband, welches wahrscheinlich die besten funktionellen Eigenschaften besitzt, erhalten werden kann.
Die Rehabilitation ist zudem etwas schneller als bei einer Ersatzplastik des vorderen Kreuzbandes.
Der Kreuzbandersatz
In den meisten Fällen ist eine Ersatzplastik des vorderen Kreuzbandes notwendig. Dabei wird bei klarer Indikationsstellung zunächst eine Sehne oder ein Sehnenanteil am gleichen Kniegelenk entnommen und daraus ein sogenanntes Kreuzbandtransplantat erstellt.
Das Primärtransplantat am Meliva Gelenkzentrum ist die Semitendinosus-Sehne. Diese kann über einen kleinen Hautschnitt im Bereich des Unterschenkels gewonnen werden.
Diese Sehne kann sehr gut entbehrt werden. Die benachbarte Muskulatur übernimmt ihre Funktion in der Regel schnell. Zudem wächst diese Sehne in vielen Fällen wieder nach.
Ein minimaler Kraftverlust von etwa 5 % kann nach der Entnahme für die Beugung des Kniegelenks verbleiben. Diese Sehne hat sich mittlerweile zum europäischen Standard entwickelt.
Ist die Sehne nicht kräftig oder lang genug, kann sie durch eine zweite, kleinere Sehne (Gracilis-Sehne) verstärkt werden. Diese wird über denselben Zugang entnommen.
Aus der oder den Sehnen entsteht das sogenannte vordere Kreuzbandtransplantat.


Alternativ können auch zentrale Anteile der Oberschenkelmuskulatur (Quadrizepssehne) oder der Patellasehne als Transplantat verwendet werden.
Am Meliva Gelenkzentrum wird dieses Sehnenmaterial in der Regel für Revisionseingriffe, also die erneute Versorgung einer versagten vorderen Kreuzbandplastik, verwendet. In sehr seltenen Fällen wird auf Spendersehnenmaterial zurückgegriffen.
Ablauf der Operationen am vorderen Kreuzband
Die Operation findet sowohl für die Naht als auch für den Ersatz minimalinvasiv in Schlüssellochtechnik und rein arthroskopisch statt.
Nach einer arthroskopischen Inspektion des Gelenkes und der möglichen Reparatur von Begleitverletzungen wird sowohl im Oberschenkel als auch im Unterschenkel ein Kanal im Knochen angelegt.
Diese Kanäle werden exakt dort platziert, wo sich normalerweise das vordere Kreuzband befindet beziehungsweise ansetzt. Es handelt sich um eine anatomische Rekonstruktion.
Anschließend wird das Transplantat eingezogen und am Oberschenkel sowie am Unterschenkel befestigt.
Am Meliva Gelenkzentrum wird im Bereich des Oberschenkels ein Plättchen verwendet, an welchem das Transplantat hängt. Dieses verankert sich am Oberschenkelknochen.
Das Transplantat kann anschließend innerhalb des Tunnels in den Oberschenkelknochen einwachsen.

Im Bereich des Unterschenkels werden selbstauflösende Schrauben verwendet, welche das Transplantat an den Knochen drücken. Dadurch wird es fixiert. Es heilt ein, während sich die Schraube langsam auflöst.

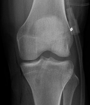
Im Röntgenbild zeigt sich nach der Operation eine regelrechte Positionierung der Bohrkanäle im Knochen sowie das Fixationsmaterial im Bereich des Oberschenkels (Plättchen) und im Bereich des Unterschenkels (Schraube).

Nachbehandlung
Was passiert nach der Behandlung eines vorderen Kreuzbandrisses?
Die Nachbehandlung orientiert sich streng an der gewählten Operationstechnik.
Bei einer Kreuzbandnaht
Bei einer isolierten Naht benötigt der Patient nur für eine sehr kurze Zeit Gehstöcke (1–2 Wochen) und kann nach Durchlaufen der Rehabilitationsphase nach etwa 6 Monaten wieder jeglichen Sport ausüben. Radfahren und Schwimmen sind in der Regel bereits 8 Wochen nach der Operation wieder möglich.
Bei einem Kreuzbandersatz
Bei einer isolierten Ersatzplastik benötigt der Patient etwa 3–4 Wochen Gehstöcke.
Nach Durchlaufen der Rehabilitationsphase sind Radfahren und Schwimmen nach etwa 3 Monaten wieder möglich. Joggen ist circa 6 Monate nach der Operation wieder möglich. Nach etwa 9 Monaten kann der Patient wieder jeglichen Sport ausüben.
Dabei ist anzumerken, dass eine intensive Rehabilitation erforderlich ist, um diese vorgegebenen Zeiträume einzuhalten.
Kam es während der Kreuzbandoperation zu zusätzlichen Eingriffen wie beispielsweise einer Meniskusnaht oder einer Knorpelreparatur, beträgt die initiale Teilbelastungsphase an Gehstöcken in der Regel 6 Wochen. Die weitere Rehabilitation gliedert sich anschließend meist in die reguläre Rehabilitationsstruktur ein.
Ergebnisse
Was kann ich von der Behandlung erwarten?
Bei Einhaltung der korrekten Indikationsstellung und Durchführung der entsprechenden Operationstechnik ist bei über 90 % der Patienten mit zufriedenstellenden bis sehr zufriedenstellenden Ergebnissen zu rechnen.
Diese Zahlen wurden in großen Kohortenstudien analysiert und entsprechen den Ergebnissen am eigenen Patientengut. Die Rückkehrquote zur gleichen sportlichen Aktivität auf dem gleichen Niveau wie vor der Operation wird in der Literatur aktuell mit etwa 80 % angegeben.
Kreuzbandriss
Ein Kreuzbandriss entsteht häufig durch plötzliche Drehbewegungen oder Sportunfälle. Eine gezielte Behandlung stellt Stabilität und Funktion des Knies wieder her.
Anatomie
Was ist das vordere Kreuzband?
Im „Inneren“ des Kniegelenks befindet sich das vordere Kreuzband (VKB).
Es entspringt an der hinteren Innenseite der äußeren Oberschenkelrolle. Von dort verläuft es schräg durch das Kniegelenk nach vorne und setzt am zentralen vorderen Unterschenkelplateau an.

Die Funktion des vorderen Kreuzbandes
Das vordere Kreuzband verhindert eine Verschiebung (Translation) des Unterschenkels gegenüber dem Oberschenkel nach vorne. Des Weiteren verhindert es durch seinen schrägen Verlauf eine Drehbewegung (Rotation) des Unterschenkels gegenüber dem Oberschenkel.
Das vordere Kreuzband ist nur sehr schlecht durchblutet und weist aus diesem Grund nur eine sehr geringe eigene Heilungspotenz auf.
Aus anatomischer Sicht besteht das vordere Kreuzband aus zwei Bündeln: einem vorderen (anteromedialen) und einem hinteren (posterolateralen). Während das vordere Bündel hauptsächlich die Translation verhindert, kontrolliert das hintere Bündel die Rotation.
Krankheitsbild
Was ist ein Kreuzbandriss?
Typischerweise kommt es bei Sportverletzungen ohne Gegnerkontakt zu einem Riss des vorderen Kreuzbandes (Bild 2), einer sogenannten vorderen Kreuzbandruptur.
Diese Ruptur kann teilweise oder komplett vorliegen.

Gerade bei Kindern und Jugendlichen kommt es häufig zu knöchernen Ausrissen des vorderen Kreuzbandes. Sportler und Frauen sind in der Bevölkerung am häufigsten betroffen.
Begleitverletzungen eines vorderen Kreuzbandrisses
Sehr oft ist eine vordere Kreuzbandruptur mit Begleitverletzungen am Meniskus und/oder Knorpel assoziiert.
Entschließt man sich zu einer Operation zum Ersatz oder zur Naht des vorderen Kreuzbandes, können diese Begleitverletzungen in der Regel im gleichen Eingriff ebenfalls behandelt werden.
Oft ist es so, dass die Begleitverletzung an sich bereits sehr gravierend ist (z. B. eine Meniskuskorbhenkelläsion) und eine Operationsindikation darstellt. In diesen Fällen muss mit dem Patienten besprochen werden, ob sowohl das vordere Kreuzband als auch die Begleitverletzung in einem Eingriff behandelt werden sollen. Aus medizinischer Sicht ist dies grundsätzlich empfehlenswert, muss jedoch individuell mit jedem Patienten besprochen werden.
Kreuzbandriss: Auslöser
- Harter seitlicher Aufprall eines Gegners beim Fußball gegen das Kniegelenk
- Überstreckung des Kniegelenks
- Plötzliches Abbremsen aus vollem Lauf
- Plötzlicher Richtungswechsel aus vollem Lauf
- Landung nach Sprung oder Drehung
Kreuzbandriss: Symptome
- Schwellung
- Blutiger Gelenkerguss
- Instabilitätsgefühl
- Heftiger Schmerz im Inneren des Knies
- Deutlich hörbares Knallen durch das reißende Kreuzband
- Knie lässt sich nicht mehr ganz strecken
Kreuzbandriss: Prävention
- Beinachsentraining: Bewegung und Sprünge auf weichen Untergründen (Matten)
- Koordinationstraining: Sprungübungen
- Propriozeption: Balance Board
Symptome
Was ist ein Kreuzbandriss?
Typischerweise kommt es bei Sportverletzungen ohne Gegnerkontakt zu einem Riss des vorderen Kreuzbandes (Bild 2), einer sogenannten vorderen Kreuzbandruptur.
Diese Ruptur kann teilweise oder komplett vorliegen. Gerade bei Kindern und Jugendlichen kommt es häufig zu knöchernen Ausrissen des vorderen Kreuzbandes. Sportler und Frauen sind in der Bevölkerung am häufigsten betroffen.
Begleitverletzungen eines vorderen Kreuzbandrisses
Sehr oft ist eine vordere Kreuzbandruptur mit Begleitverletzungen am Meniskus und/oder Knorpel assoziiert.
Entschließt man sich zu einer Operation zum Ersatz oder zur Naht des vorderen Kreuzbandes, können diese Begleitverletzungen in der Regel im gleichen Eingriff ebenfalls behandelt werden.
Oft ist es so, dass die Begleitverletzung an sich bereits sehr gravierend ist (z. B. eine Meniskuskorbhenkelläsion) und eine Operationsindikation darstellt. In diesen Fällen muss mit dem Patienten besprochen werden, ob sowohl das vordere Kreuzband als auch die Begleitverletzung in einem Eingriff behandelt werden sollen. Aus medizinischer Sicht ist dies grundsätzlich empfehlenswert, muss jedoch individuell mit jedem Patienten besprochen werden.
Fakten zum vorderen Kreuzband
- Rückkehrquote zum gleichen Sport mit Operation: 65 %
- Anteil der Begleitverletzungen: bis zu 50 %
- Gefahr der Arthroseentwicklung: bis zu 50 %
- Rückkehrquote zum gleichen Sport ohne Operation: 17 %
- Gefährlichste Sportart: Fußball
- Dauer bis zur Rückkehr in volle sportliche Aktivität: 9 Monate
- Frauen erleiden einen Kreuzbandriss 4- bis 8-fach häufiger
Diagnostik
Wie untersucht man einen vorderen Kreuzbandriss?
Zur Diagnostik einer vorderen Kreuzbandruptur gehört primär die Erhebung der Anamnese (Krankengeschichte).
- Liegt eine ältere oder eine frische Kreuzbandruptur vor?
- War ein Unfall oder ein anderes Geschehen ursächlich?
- Wie alt ist der Patient und welchen sportlichen Anspruch hat der Patient?
- Wurde das betroffene Kniegelenk schon einmal operiert?
Hiernach folgt die körperliche Untersuchung des betroffenen Kniegelenks immer im Vergleich zum anderen gesunden Kniegelenk.
Bei klarem Verdacht auf eine Ruptur des vorderen Kreuzbandes sollte eine MRT-Untersuchung (Magnetresonanztomographie) des betroffenen Kniegelenks erfolgen.

Durch diese Bildgebung kann nicht nur das Kreuzband, sondern auch alle anderen Strukturen des Kniegelenks wie Meniskus, Knorpel und Knochen beurteilt werden. In vielen Fällen kann mittlerweile auf eine konventionelle Röntgendiagnostik verzichtet werden.
Kreuzbandriss: Sofortmaßnahmen
- Knie ruhigstellen, eventuell mit Bandage oder Orthese
- Sportliche Aktivität und Wettkampf sofort beenden
- Entlastung des Knies mit Unterarmgehstützen
- Schmerzen und Schwellung können mit Nichtsteroidalen Antirheumatika (NSAR) behandelt werden
- Bei Schwellung das Knie hochlagern
- Kühlung mit Eis
Kreuzbandriss: Wann konservativ therapieren?
- Das Aktivitätsniveau des Patienten ist niedrig, Risikosportarten werden nicht ausgeübt
- Keine oder nur geringe Begleitverletzungen im Knie
- Bei Teilruptur müssen mindestens 75 % des Kreuzbandes noch intakt sein, um eine Spontanheilung zu unterstützen
- Bei knöchernem Ausriss darf dieser nicht verschoben sein und sollte noch an der Ausrissstelle anhaften
Kreuzbandriss Operation: Pro & Kontra
Pro
- Volle Stabilität
- Rückkehr zum sportlichen Niveau
- Vermeidung einer Arthrose
Contra
- Operationsrisiken
- Kein zwingender Anspruch auf maximale Kniestabilität
- Fortgeschrittenes Lebensalter
Therapie
Welche Möglichkeiten der Behandlung gibt es bei einem vorderen Kreuzbandriss?
Die Entscheidung der fortführenden Therapie orientiert sich am Patienten, der Verletzung beziehungsweise einer Kombination daraus. Grundsätzlich bestehen zwei Therapieoptionen: konservativ (keine Operation) oder operativ (Operation).
Schwerwiegende Begleitverletzungen unterstreichen eine Operationsindikation. Nahtfähige vordere Kreuzbandrupturen müssen bei entsprechender Indikationsstellung zeitnah, in der Regel innerhalb von zwei Wochen, operiert werden.

Die verschiedenen Patiententypen
Die isolierte akute oder chronische Verletzung des vorderen Kreuzbandes stellt keine dringende Operationsindikation dar. Es bleibt ausreichend Zeit, gemeinsam mit dem Patienten das weitere Vorgehen festzulegen.

Eine hilfreiche Entscheidungshilfe ist die Dreiteilung in sogenannte Coper, Adapter und Non-Coper.

Volle sportliche Aktivität bei konservativer Behandlung (Coper)
Coper sind Patienten, die auch ohne vorderes Kreuzband ohne Instabilitätsepisoden in ihre volle sportliche Aktivität zurückkehren können.
Diese Gruppe weist jedoch ein deutlich erhöhtes Risiko für sekundäre Begleitverletzungen sowie für die Entwicklung einer Arthrose auf.
Angepasste sportliche Aktivität bei konservativer Behandlung (Adapter)
Adapter passen ihre Aktivität so an, dass keine Instabilitätsepisoden entstehen.
Bezüglich Begleitverletzungen und insbesondere der Arthroseentwicklung besteht ein vergleichbares Risiko wie bei den Copern.
Sowohl Coper als auch Adapter können primär konservativ behandelt werden.
Operation empfohlen (Non-Coper)
Non-Coper verspüren eine relevante Instabilität und können nicht zum gewünschten Sportniveau zurückkehren. Diesen Patienten wird eine Operation empfohlen.
Die Kreuzbandnaht
Bestimmte Rissformen des vorderen Kreuzbandes können heutzutage mit modernen Nahttechnik-Systemen versorgt werden.
Dabei wird der abgerissene Kreuzbandstumpf mithilfe von Fäden gefasst und wieder an die anatomische Ursprungsstelle am Oberschenkelknochen gezogen und dort fixiert.
Ein Spannfaden verbindet zudem Oberschenkel und Unterschenkel im Sinne einer korrekten Einstellung dieser beiden Gelenkpartner zueinander, sodass das gerissene Kreuzband in richtiger Stellung ausheilen kann.
Dieser Spannfaden ist im Unterschenkel mit einer Sprungfeder verbunden, welche die Bewegungen eines normalen Kreuzbandes nachahmen kann.

Der Vorteil der Kreuzbandnaht besteht darin, dass kein Sehnenmaterial verwendet werden muss und das eigene Kreuzband, welches wahrscheinlich die besten funktionellen Eigenschaften besitzt, erhalten werden kann.
Die Rehabilitation ist zudem etwas schneller als bei einer Ersatzplastik des vorderen Kreuzbandes.
Der Kreuzbandersatz
In den meisten Fällen ist eine Ersatzplastik des vorderen Kreuzbandes notwendig. Dabei wird bei klarer Indikationsstellung zunächst eine Sehne oder ein Sehnenanteil am gleichen Kniegelenk entnommen und daraus ein sogenanntes Kreuzbandtransplantat erstellt.
Das Primärtransplantat am Meliva Gelenkzentrum ist die Semitendinosus-Sehne. Diese kann über einen kleinen Hautschnitt im Bereich des Unterschenkels gewonnen werden.
Diese Sehne kann sehr gut entbehrt werden. Die benachbarte Muskulatur übernimmt ihre Funktion in der Regel schnell. Zudem wächst diese Sehne in vielen Fällen wieder nach.
Ein minimaler Kraftverlust von etwa 5 % kann nach der Entnahme für die Beugung des Kniegelenks verbleiben. Diese Sehne hat sich mittlerweile zum europäischen Standard entwickelt.
Ist die Sehne nicht kräftig oder lang genug, kann sie durch eine zweite, kleinere Sehne (Gracilis-Sehne) verstärkt werden. Diese wird über denselben Zugang entnommen.
Aus der oder den Sehnen entsteht das sogenannte vordere Kreuzbandtransplantat.


Alternativ können auch zentrale Anteile der Oberschenkelmuskulatur (Quadrizepssehne) oder der Patellasehne als Transplantat verwendet werden.
Am Meliva Gelenkzentrum wird dieses Sehnenmaterial in der Regel für Revisionseingriffe, also die erneute Versorgung einer versagten vorderen Kreuzbandplastik, verwendet. In sehr seltenen Fällen wird auf Spendersehnenmaterial zurückgegriffen.
Ablauf der Operationen am vorderen Kreuzband
Die Operation findet sowohl für die Naht als auch für den Ersatz minimalinvasiv in Schlüssellochtechnik und rein arthroskopisch statt.
Nach einer arthroskopischen Inspektion des Gelenkes und der möglichen Reparatur von Begleitverletzungen wird sowohl im Oberschenkel als auch im Unterschenkel ein Kanal im Knochen angelegt.
Diese Kanäle werden exakt dort platziert, wo sich normalerweise das vordere Kreuzband befindet beziehungsweise ansetzt. Es handelt sich um eine anatomische Rekonstruktion.
Anschließend wird das Transplantat eingezogen und am Oberschenkel sowie am Unterschenkel befestigt.
Am Meliva Gelenkzentrum wird im Bereich des Oberschenkels ein Plättchen verwendet, an welchem das Transplantat hängt. Dieses verankert sich am Oberschenkelknochen.
Das Transplantat kann anschließend innerhalb des Tunnels in den Oberschenkelknochen einwachsen.

Im Bereich des Unterschenkels werden selbstauflösende Schrauben verwendet, welche das Transplantat an den Knochen drücken. Dadurch wird es fixiert. Es heilt ein, während sich die Schraube langsam auflöst.

Im Röntgenbild zeigt sich nach der Operation eine regelrechte Positionierung der Bohrkanäle im Knochen sowie das Fixationsmaterial im Bereich des Oberschenkels (Plättchen) und im Bereich des Unterschenkels (Schraube).

Nachbehandlung
Was passiert nach der Behandlung eines vorderen Kreuzbandrisses?
Die Nachbehandlung orientiert sich streng an der gewählten Operationstechnik.
Bei einer Kreuzbandnaht
Bei einer isolierten Naht benötigt der Patient nur für eine sehr kurze Zeit Gehstöcke (1–2 Wochen) und kann nach Durchlaufen der Rehabilitationsphase nach etwa 6 Monaten wieder jeglichen Sport ausüben. Radfahren und Schwimmen sind in der Regel bereits 8 Wochen nach der Operation wieder möglich.
Bei einem Kreuzbandersatz
Bei einer isolierten Ersatzplastik benötigt der Patient etwa 3–4 Wochen Gehstöcke.
Nach Durchlaufen der Rehabilitationsphase sind Radfahren und Schwimmen nach etwa 3 Monaten wieder möglich. Joggen ist circa 6 Monate nach der Operation wieder möglich. Nach etwa 9 Monaten kann der Patient wieder jeglichen Sport ausüben.
Dabei ist anzumerken, dass eine intensive Rehabilitation erforderlich ist, um diese vorgegebenen Zeiträume einzuhalten.
Kam es während der Kreuzbandoperation zu zusätzlichen Eingriffen wie beispielsweise einer Meniskusnaht oder einer Knorpelreparatur, beträgt die initiale Teilbelastungsphase an Gehstöcken in der Regel 6 Wochen. Die weitere Rehabilitation gliedert sich anschließend meist in die reguläre Rehabilitationsstruktur ein.
Ergebnisse
Was kann ich von der Behandlung erwarten?
Bei Einhaltung der korrekten Indikationsstellung und Durchführung der entsprechenden Operationstechnik ist bei über 90 % der Patienten mit zufriedenstellenden bis sehr zufriedenstellenden Ergebnissen zu rechnen.
Diese Zahlen wurden in großen Kohortenstudien analysiert und entsprechen den Ergebnissen am eigenen Patientengut. Die Rückkehrquote zur gleichen sportlichen Aktivität auf dem gleichen Niveau wie vor der Operation wird in der Literatur aktuell mit etwa 80 % angegeben.
Ärztliche Behandler:innen
-
Dr. med. Christoph Meister
Facharzt für Orthopädie und Unfallchirurgie, Spezialisierung für Knie und Hüfte
Mehr lesen -
PD Dr. med. Marcus Egermann
Facharzt für Orthopädie und Unfallchirurgie, Spezialisierung für Knie und Hüfte
Mehr lesen -
Alexander Götze
Facharzt für Orthopädie & Unfallchirurgie, Spezialisierung für Kniechirurgie
Mehr lesen -
Prof. Dr. med. Gian Salzmann
Facharzt für Orthopädie und Unfallchirurgie, Spezialisierung für Knie, Lehrkörper der Universität Freiburg im Breisgau, Geschäftsführer Meliva Gelenkzentrum Rhein-Main
Mehr lesen -
Dr. med. Thomas Hardt
Facharzt für Orthopäde und Unfallchirurg, Spezialisierung für Knie, Hüfte und operative Rheumatologie
Mehr lesen -
Holger Falk
Facharzt für Orthopädie und Unfallchirurgie, Spezialisierung für Knie und Hüfte
Mehr lesen
Verfügbar an folgenden Standorten

Anamnesebogen
Gerne können Sie sich vor Ihrem Termin unseren Anamnesebogen herunterladen und vorab Zuhause und in Ruhe ausfüllen. Bitte denken Sie bei Ihrem Erstbesuch sowohl an den ausgefüllten Bogen als auch Ihre Krankenversichertenkarte.